细胞迁移和侵袭
细胞迁移是指细胞在接收到迁移信号或感受到某些物质的梯度后而产生的移动,胚胎发育、血管生成、免疫反应、伤口愈合、动脉粥样硬化、炎症反应、癌症转移等过程中都涉及细胞迁移。细胞侵袭是指细胞向局部侵犯,转移性肿瘤细胞由于其高迁移和/或降解胞外基质的酶活从而表现出较强的侵袭性。拜泰克生物提供划痕实验和Transwell实验检测细胞迁移能力,提供铺有 Matrigel 胶的 Transwell 小室检测细胞侵袭能力。
服务说明
​1.服务内容

划痕实验检测细胞迁移

细胞划痕实验是一种简捷测定细胞迁移运动与修复能力的方法,在体外培养皿或平 板培养的单层贴壁细胞上,用微量枪头或其它硬物在细胞生长的中央区域划线,去除 中央部分的细胞,然后继续培养细胞至实验设定的时间,观察细胞是否生长/迁移至重要 划痕区域,以此检测细胞的迁移能力。这是一种简单易行的检测细胞运动的方法,实验成本低,操作方便。

  • 细胞划痕实验检测迁移能力

    A: 处理细胞后0h;B: 处理细胞后24;C: 处理细胞后48h; D: 处理细胞后72h

transwell实验检测细胞迁移

Transwell的基本原理是将transwell小室放入培养板中,小室内称为上室,培养板内称为下室,上下层培养液以聚碳酸酯膜相隔, 上室内添加上层培养液,下室内添加下层培养液。将细胞种在上室内,由于膜有通透性,下层培养液中的成分可以影响到上室内的细胞, 从而可以研究下层培养液中的成分对细胞生长、运动等的影响。

  • Transwell小室示例图

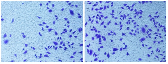
transwell实验检测细胞侵袭

Transwell的基本原理同迁移实验,只是在聚碳酸酯膜上铺有 Matrigel 胶。Matrigel 是从小鼠EHS肉瘤中提取的基质成分, 含有LN、IV型胶原、接触蛋白和肝素硫酸多糖,铺在无聚乙烯吡硌烷酮的聚碳酸酯滤膜上,能在DMEM培养基中重建形成膜结构, 这种膜结构与天然基质膜结构极为相似。滤膜孔径一般为8 μm,而且膜孔都被Matrigel覆盖, 细胞不能自由穿过,必须分泌水解酶,并通过变形运动才能穿过这种铺有Martrigel的滤膜,这与体内情况较为相似。 肿瘤细胞穿过重建基质膜的能力与它的体内侵袭转移能力表现出较好的相关性,可以用重建基质膜模型初筛抗侵袭药物。

  • 细胞侵袭示例图

2.服务价格与周期
服务编号 服务内容 服务价格 服务周期(工作日)
CS1006-1 划痕法检测细胞迁移能力(含细胞培养处理) 300元/样 7-10
CS1006-2 transwell法检测细胞迁移能力(含细胞培养处理) 300元/样本 7-10
CS1006-3 transwell法检测细胞侵袭能力(含细胞培养处理) 400元/样本 7-10
3.服务说明
客户需提供生长状态良好的细胞株及其他专用实验材料,如质粒、病毒、药物等; 实验前,客户需告知具体的细胞处理方式及详细要求。
4.交付标准
完整实验报告(包括操作流程、细胞图片及数据分析结果)一份
本公司承诺,检测结果真实、客观、可信,但不确保得到某预期结果!